Ortodoncia en Los Alcázares
Ortodoncia y estética dental
En Clínica Dental Noray Internacional contamos con un equipo profesional dispuesto a atender todas sus consultas en el área de la ortodoncia y la estética dental.
Por medio de los más novedosos procedimientos y del uso de materiales de última generación, podemos asegurarle resultados estéticos de alta calidad. ¡Conózcanos!
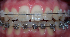
Ortodoncia

Nuestros tratamientos de ortodoncia le permitirán obtener un correcto alineamiento de sus dientes. Aplicamos las más novedosas técnicas y procedimientos para corregir la malposición dental en el menor tiempo posible, tanto en niños como en adultos.
Ponemos todo nuestro empeño para cumplir con las constantes exigencias del sector odontológico, ofreciendo tratamientos de ortodoncia lo más estéticos posibles: brackets metálicos, estéticos y ortodoncia invisible.
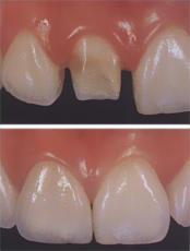
Estética dental

En Clínica Dental Noray Internacional le proporcionamos variedad de servicios en estética dental para que luzca una sonrisa sana y radiante. Entre ellos:
- Blanqueamientos.
- Carillas de porcelana.
- Coronas metal-cerámica (blanqueamiento antes o después de ortodoncia).
- Coronas de circonio.
También trabajamos con ilanys y onlays, restauraciones que se usan para reparar dientes posteriores que tienen caries de leve a moderada. Asimismo, son una excelente alternativa para restaurar los dientes que están agrietados o fracturados si el daño no es tan importante como para requerir una corona dental.







